Avian malaria is caused by different sorts of the plasmodium parasite which differ to those that affect man. Infected birds may die suddenly or otherwise show general malaise with fever or hypothermia (sitting with puffed up feathers), respiratory difficulty, and dehydration. Avian malaria is spread by mosquitoes, in the Netherlands by the common house mosquito (Culex pipiens) which are found, like the avian malaria parasite, throughout the country.
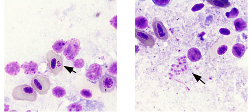
Typical post-mortem findings include an enlarged liver and spleen and fluid on the lungs (pulmonary oedema).The parasite can be seen in appropriately stained red blood cells (left) and, different stages of the parasite are seen in liver impression smears (right).
![]() |
| Left: Avian malaria parasite in a red blood cell. Right: Extracellular avian malaria parasite in the lever (Photos: M.Kik, DWHC) |
![merel-malaria[1]](https://dwhc.wp.hum.uu.nl/wp-content/uploads/sites/510//2021/11/merel-malaria1.jpg)