Malaria bij vogels wordt veroorzaakt door verschillende soorten Plasmodium parasieten, waar overigens mensen niet gevoelig voor zijn. Zieke vogels vertonen symptomen als het bol in de veren zitten, kortademigheid, uitdroging, en plotselinge sterfte. De malaria parasiet wordt waarschijnlijk door de huissteekmug (Culex pipiens) overgebracht.
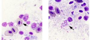
Bij sectie vertonen de vogels een vergrote lever, een erg grote milt en veel vocht in de longen. Middels kleuringen van weefsel uitstrijkjes kan met de parasiet in de rode bloedcellen aantonen (Foto links). Met histologisch onderzoek stelt men een lever ontsteking met daarin verschillende stadia van de parasieten vast (Foto rechts).
Zie voor meer informatie ook www.natuurbericht.nl
![]() |
| Foto links: Vogelmalaria parasiet in rode bloedcel. Foto rechts: Vogelmalaria parasiet extracellulair in lever (Foto’s: M.Kik, DWHC) |
![merel-malaria[1]](https://dwhc.wp.hum.uu.nl/wp-content/uploads/sites/510//2021/11/merel-malaria1-300x135.jpg)