In May 2019 several dead Common carp (Cyprinus carpio) were found in an old underwater sandpit situated in Haaren, province of North-Brabant. In previous years only one or two dead carp were found in this time of year, but this year more common carp were found dead over a short periode of time. Before dying, the fish showed abnormal behavior: they had lost their flight response and were apathetic despite the mating season.
The dead carp were adults, some of them measuring more than one meter in length. DWHC collected one fish immediately after dying to investigate the cause of dead.
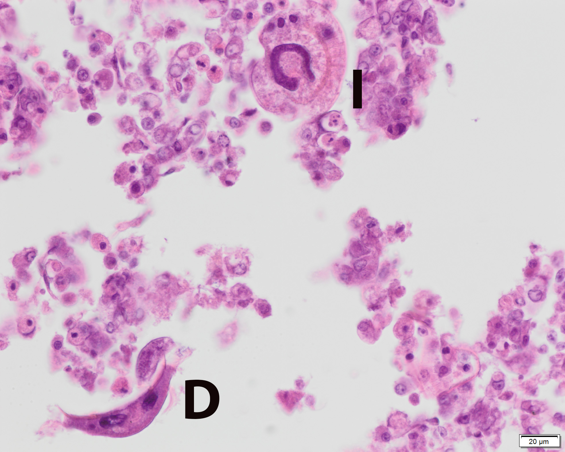
Cause of death
The investigated common carp was an adult female. The fish had several small ulcers on its head and severely inflamed gills. Because of these inflamed gills, the fish had problems breathing. The inflammation was caused by the parasites Dactylogyrus and Ichthyophthirius spp . The fish also had proliferations in the oral cavity.
In addition, so-called inclusion bodies were found in the gill cells, which can indicate a viral infection. Therefore the gills and kidneys were tested for koi herpes virus and for the causative agent of koi sleepy disease. Both test results were negative.

Dactylogyrus
The common name used for Dactylogyrus is Gill Fluke. Gill flukes show species-specificity, so the gill flukes in common carp are seldom seen in other fish species. With anchors gill flukes latch onto the gills. This in combination with the way they feed, the mucous membrane is damaged. Infected carp show symptoms that include breathing problems (accelerated respiration) and rubbing. Furthermore head shaking and swimming backwards are mentioned as symptoms. These symptoms are not unique and can also be caused by other pathogens. Therefore Gill Fluke can only be diagnosed with certainty by microscopic examination.
Ichthyophthirius
This parasite is a protozoa and one of the most common and persistent pathogens in fish. The common name for the disease caused by Ichthyophthirius is white spot disease or Ich. The parasite enters the mucous tissue causing ulcerations and damage to the skin. In aquaria infected fishes are rubbing against objects. If its immune system has weakened , fish is more susceptible to this disease. Infection with Gill Fluke may have weakened the immune system of the carp under examination. Possible other/additional stress factors include poor water quality and sudden temperature changes of the water.
Used literature on Dactylogyrus and Ichthyophthirius (in Dutch)
Haenen, O. 2014. Karperziekten in Nederland: toen en nu. Aquacultuur 2014, nr 5, blz 36 – 41 (http://edepot.wur.nl/363087)
LICG over houden van huisdieren: Ziekten en aandoeningen bij zoetwatervissen. https://www.licg.nl/aquariumdieren/ziekten-en-aandoeningen-bij-zoetwatervissen/
Nishikigoi Vereniging Nederland: Kieuwworm (Dactylogyrus). https://www.nvn-koi.nl/content/index.php?itemid=379