Met enige regelmaat krijgt het DWHC meldingen van en vragen over reeën met kale plekken. Soms heeft het ree een paar kale plekken, maar het komt ook voor dat het dier bijna helemaal kaal is. In februari van dit jaar werden bij het DWHC twee reeën met kale plekken voor onderzoek ingeleverd.
Bij een kaal dier denken jagers meteen aan schurft, die door de schurftmijt Sarcoptes scabiei wordt veroorzaakt. Maar er zijn meerdere oorzaken mogelijk, zoals hormonale problemen, andere ecto-parasieten en andere ziekten. Ook een normaal in het haarzakje van een ree aanwezige mijt, de Demodex-mijt, kan onder bepaalde omstandigheden kaalheid veroorzaken.

De twee in februari ingeleverde reeën kwamen beide uit de provincie Noord-Brabant. Het betrof in beide gevallen geschoten vrouwelijke dieren (een geit en een kalf). De jager van de geit meldde dat dit het tweede ree met kale plekken was dat hij dit jaar in zijn veld had geschoten. De geit had enkele kale plekken, het kalf was bijna geheel kaal (zie foto). Het bloed dat op de foto te zien is, hoort niet bij het ziektebeeld, maar is veroorzaakt door het vervoer van het geschoten dier in een zak.
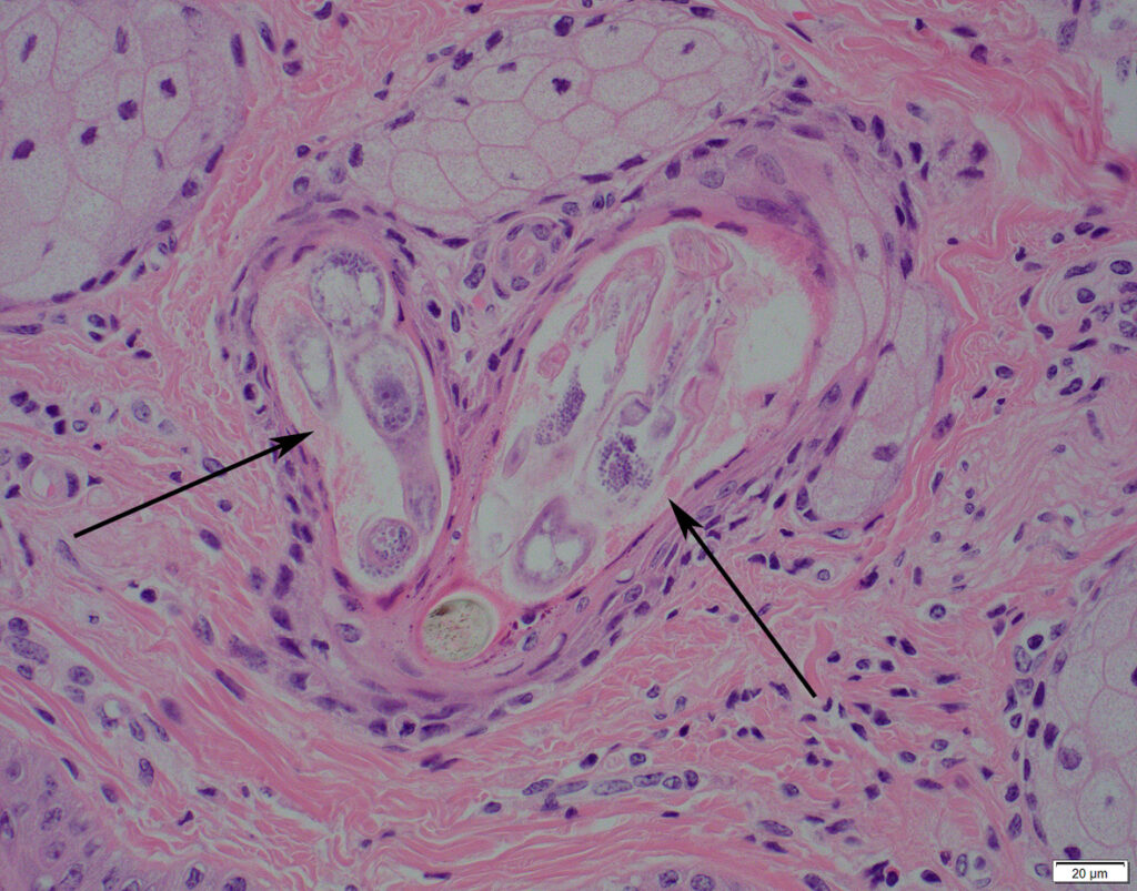
Het onderzoek toonde aan dat de kaalheid bij beide dieren door demodex-mijten was veroorzaakt. Kaalheid die door demodex-mijten wordt veroorzaakt, wordt demodicose genoemd en kan lokaal of over bijna de gehele vacht verspreid voorkomen.
Demodicose is voornamelijk bekend van problemen bij jonge honden. Bij hertachtigen is het slechts een enkele keer beschreven. De eerste beschrijvingen stammen 1886 bij een sambar (Cervus unicolor) en uit 1909 bij een ree1. Destijds werd deze ziekte in het Duits ‘Akarus-Räude’ genoemd. Van recentere datum zijn beschrijvingen van vier reeën met ernstige kaalheid door demodicose in België (Vlaanderen 2007)2 en van drie bevestigde en twee waarschijnlijke demodicose-gevallen in Engeland (North Yorkshire 20103 en Somerset 20114). De twee van demodicose verdachte reeën waren bijna geheel kaal, maar niet onderzocht. In hetzelfde gebied werden kort daarna twee andere kale reeën onderzocht, waarbij de demodex-mijt als oorzaak van de kaalheid werd vastgesteld.

De Demodex-mijt komt regelmatig bij mens en dier voor. Er bestaan meerdere soorten demodex-mijten die waarschijnlijk diersoort-specifiek zijn. Veel informatie is hierover echter niet beschikbaar, omdat men in het onderzoek naar de oorzaak van de kaalheid niet vaak overgaat tot het determineren van de specifiek soort. Demodex-mijten voeden en vermenigvuldigen zich in de talgklieren van de haarzakjes. De mijt kan op de huid zelf niet lang overleven, omdat hij dan snel sterft door uitdroging. De mijt loopt over de huid van het ene haarzakje naar het volgende en kan dan via direct onderling contact overgaan van de ene ree op de andere. Meestal gebeurt dit bij het intensieve contact dat een moederdier heeft met haar kalveren.
Mijten vormen normaal gesproken geen probleem voor de gastheer, maar als het evenwicht tussen gastheer en mijt om de een of andere reden is verstoord, kunnen de aantallen mijten sterk toenemen en kaalheid veroorzaken. Hoe het mechanisme precies werkt is nog niet helemaal duidelijk, maar men weet dat de grotere aantallen mijten zwelling van de talgklieren en haarzakjes veroorzaken, waardoor het haar uitvalt. Een ander mogelijk effect is dat de mijten zorgen voor een vertraging van de haargroei. In de aangetaste haarzakjes, kan vervolgens een bacteriële infectie optreden en/of kunnen zweren ontstaan.
Het lijkt er dus op dat demodicose een zogenaamde secundaire ziekte is, die optreedt als het afweersysteem door een andere oorzaak niet meer goed functioneert. Een minder goed werkend afweersysteem (immuno-suppressie) kan door een andere ziekte of door verzwakking van het dier door stress (onvoldoende rust, overpopulatie) en voedselgebrek (winter) al dan niet in combinatie met slechte weeromstandigheden (nat en koud) worden veroorzaakt. Ook grote aantallen parasieten, overigens zelf vaak een gevolg van verminderde fitheid van het dier, kunnen bijdragen aan het onderdrukken van het natuurlijke afweersysteem, waardoor de mijt sterk in aantal kan toenemen. Deze factoren (stress, parasieten, slechte voedingstoestand) werden als mogelijke oorzaak van de demodicose in Vlaanderen genoemd. In Engeland werd voor het gebied in Somerset een te hoge reeëndichtheid als mogelijke onderliggende oorzaak genoemd. Voor het ree uit North Yorkshire is de oorzaak onbekend.
Het reekalf van februari 2016 had nog wel een goed spiermassa, maar had weinig vetreserves. Dit was mogelijk het gevolg van een longontsteking, veroorzaakt door een besmetting met longwormen. De kaalheid betrof ca 75 % van de huidoppervlakte. Daarnaast had het kalf teken, hertenluisvliegen en luizen op zijn huid. Deze ecto-parasieten komen vaak voor bij reeën, meestal in kleine aantallen, maar bij verzwakte dieren kan het aantal sterk toenemen, hetgeen leidt tot jeuk en onrust bij het dier.

De reegeit van februari 2016 had een matige spiermassa en had geringe vetreserves. De geit had een hersenontsteking van onbekende oorzaak. Dit dier had meerdere kale plekken, die in totaal ca. 25 % van de vacht besloegen.
Ook in 2013 werd demodicose bij een reegeit uit Noord-Brabant vastgesteld. Deze geit was een volwassen drachtige geit met een normale spiermassa en voedingstoestand. Het dier had uitgebreide, lokale kaalheid op beide flanken. De inzender gaf destijds aan dat in het gebied sprake was van overpopulatie.
Geraadpleegde literatuur:
- Kutzer, E., & Grünberg, W. (1972). Demodikose beim rothirsch (Cervus elaphus). Zeitschrift für Parasitenkunde, 40(1), 9-17.
- De Bosschere, H., Casaer, J., Neukermans, A., Baert, K., Ceulemans, T., Tavernier, P., & Roels, S. (2007). Severe alopecia due to demodicosis in roe deer (Capreolus capreolus) in Belgium. The Veterinary Journal, 174(3), 665-668.
- Strugnell, B. W., Woodhouse, M. A., Hinde, D., & Foster, A. P. (2010). Severe generalised alopecia associated with demodicosis in a roe deer. Veterinary Record, 167(11), 425-425.
- Barlow, A. M., & Wood, R. (2011). Generalised alopecia associated with demodicosis in wild roe deer (Capreolus capreolus). Veterinary Record, 168(14), 387-388.