Eind februari 2018 kwam bij DWHC een melding binnen van een bever (Castor fiber) die zeer afwijkend gedrag vertoonde voordat het dier werd geëuthanaseerd. De bever reageerde niet op mensen en leek blind en doof. De persoon die het dier had gevonden, heeft de bever een zetje gegeven, om te kijken hoe het reageerde: de bever had moeite om weer op de poten te komen. Het dier leek coördinatieproblemen te hebben. Via de dierenambulance kwam deze informatie bij de Stichting Faunabeheer Flevoland. Eén van de medewerkers is ter plekke gaan kijken en zag het dier zwemmen. Nadat de bever op de kant was geklommen, kon hij het dier tot op enkele cm’s naderen, en heeft dat op film vastgelegd. Vanwege het afwijkende gedrag is het dier in overleg met een dierenarts van DWHC geëuthanaseerd, en is de bever onderzocht om er achter te komen wat het dier mankeerde.
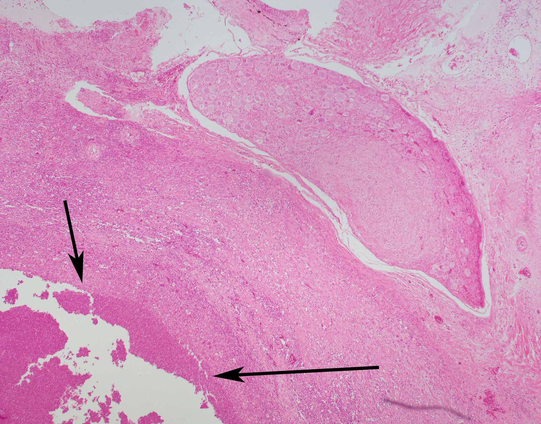
De bever was een volwassen mannelijke bever en woog slechts rond de 15 – 16 kg. Het dier had geen vetreserves meer. Het onderzoek wees uit dat de bever een chronische middenoorontsteking had in het linker oor die niet meer zou zijn overgegaan. Hoe lang de bever met de ontsteking rondliep, is niet te zeggen. Wel was duidelijk dat het oor al enige tijd ontstoken was waardoor zowel het bot als de aangrenzende zenuwen waren aangetast. Deze afwijkingen verklaren het waargenomen afwijkende gedrag: benaderbaar, incoördinatie, schijnbaar blind en doof. Een dergelijke oorontsteking is waarschijnlijk, net zoals bij mensen, een pijnlijke aangelegenheid waar de bever zeker last van had. Als gevolg van de ontsteking in het oor, had de bever een lichte ijzerstapeling in de lever, hetgeen uiteindelijk kan leiden tot een leverontsteking.
![]() |
![]() |
| Macroscopisch beeld van de oorontsteking (pijltjes) | Histologisch beeld van de oorontsteking (pijltjes) |

In de staart van de bever waren oude wonden te zien. Deze zijn waarschijnlijk ontstaan tijdens onderlinge gevechten. Het is bekend dat bevers bij het verdedigen van hun territorium elkaar diepe bijtwonden kunnen toebrengen.

