Eind vorig jaar kregen het DWHC de eerste meldingen binnen over versufte en verwakte zwanen die zich als een soort “zombies” gedroegen. In eerste instantie werd gedacht aan een opleving van vogelgriep (Aviare Influenza, AI) onder zwanen. Maar bij het onderzoek bleek dat ze daarmee niet besmet waren.

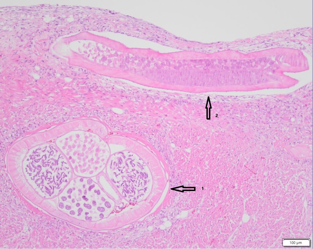
1: dwarsdoorsnede Trichobilharzia-worm
2: lengtedoorsnede Trichobilharzia-worm
Gedurende de afgelopen maanden zijn een aantal van deze zwanen uit onder andere Friesland en Zuid-Holland naar Utrecht gebracht voor verder onderzoek. Bij deze dieren werd een platworm Trichobilharzia spp. in de bloedvaten gevonden. Deze worm komt vooral voor bij eenden en zwanen. De parasieten dringen door de huid het lichaam van de vogel binnen, en veroorzaken ontstekingen in de bloedvaten van verschillende interne organen, bijvoorbeeld de darmen en de hersenen. De schade die de parasiet aan het zenuwstelsel toebrengt, leidt tot abnormaal gedrag bij de vogels. De worm kan ook in het oog terecht komen, waardoor de vogels slechtziend of zelfs blind kunnen worden.
Trichobilharzia
De volwassen wormen leven in eenden en zwanen (de eindgastheer), en hun eitjes komen met de uitwerpselen van de vogel in het water. Uit die eitjes komen miracidia (jonge fase van de wormen) vrij die worden opgegeten door zoetwaterslakken. In die zoetwaterslakken vermeerderen ze zich en daarna komen duizenden cercaria (het volgende jonge stadium van de worm) vrij. Die cercaria worden aangetrokken door het zonlicht en gaan naar het wateroppervlak op zoek naar een nieuwe eindgastheer om volwassen in te worden: een eend of zwaan.

Bij een hoog aantal van deze cercaria in het water kunnen ook mens die in het water zwemmen besmet raken. De cercaria komen bij de mens niet door de huid heen en kunnen in de huid een allergische reactie veroorzaken, de “zwemmersjeuk”. (https://www.rivm.nl/trichobilharzia)