Eind september 2023 werd een dode groene specht (Picus viridis) gevonden in Sellingen, provincie Groningen en opgehaald voor onderzoek naar de doodsoorzaak.
Het onderzoeksresultaat

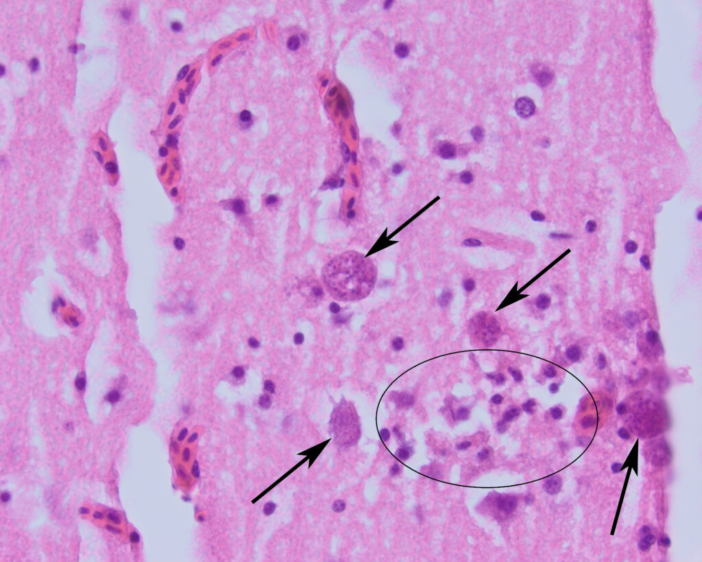
De groene specht was een mager, volwassen vrouwelijk dier. De specht had een longontsteking die was veroorzaakt door schimmels en een hersenontsteking die was veroorzaakt door de parasiet Toxoplasma gondii. Op de foto zijn met pijlen de T. gondii cysten weergegeven en de hersenontsteking is omcirkeld.
In de volksmond wordt de ziekte die door deze parasiet wordt veroorzaakt, kattenbakziekte genoemd. Door de ontstekingen was de specht verzwakt en uit de boom gevallen, waardoor zij is doodgegaan.
Dit was de eerste keer dat bij het DWHC toxoplasmose bij een vogel werd vastgesteld.
Spechten en toxoplasmose
Vrijwel alle diersoorten, en dus ook vogels, kunnen met de eencellige toxoplasma parasiet besmet raken. In Amerika werd in 2007 bij een roodbuikspecht met een hersenontsteking toxoplasmose vastgesteld. Dit is waarschijnlijk het eerste artikel over een specht met neurologische verschijnselen door toxoplasmose. In 1961 werd weliswaar toxoplasmose bij vier spechten in India vastgesteld, maar die vogels waren niet ziek. Toxoplasmose kan bij spechten dus ook asymptomatisch (zonder verschijnselen) verlopen.
Toxoplasmose als oorzaak van neurologische verschijnselen bij een groene specht is in 2015 in Duitsland beschreven. In dat jaar werden in Duitsland 25 spechten met neurologische symptomen (19) of onbekende doodsoorzaak (6) onderzocht. Het betrof 12 groene spechten en 13 grote bonte spechten. Bij één groene specht met neurologische verschijnselen werden cysten van de T. gondii parasiet in de hersenen aangetoond. Bij vier gezonde spechten in India werd bij 4 spechten toxoplasmose vastgesteld.
Bronnen:
Gerhold, R. W., & Yabsley, M. J. (2007). Toxoplasmosis in a red-bellied woodpecker (Melanerpes carolinus). Avian diseases, 51(4), 992–994. https://doi.org/10.1637/7978-040407-CASER.1
Pande P.G., P.C. Sekariah, R.R. Shukla, Toxoplasma from the woodpecker, a new natural host, Transactions of The Royal Society of Tropical Medicine and Hygiene, Volume 55, Issue 3, May 1961, Pages 277–283, https://doi.org/10.1016/0035-9203(61)90066-9
Ziegler l., S.L. Parmentier, D. Fischer, J. Heckmann, R. Klopfleisch, O. Kershaw, U. Ziegler, H. Neurath, V. Schmidt & M. Lierz. Investigations into causes of neurologic signs and mortality and the first identification of sarcocystis calchasi in free-ranging woodpeckers in Germany. Journal of Zoo and Wildlife Medicine, 49(1), 247-251, (1 March 2018)