In juli van dit jaar ontving DWHC een melding van een geelgors (Emberiza citrinella) met witte plekjes op de borst. De geelgors was door een vogelringer gevonden in Olst, Overijssel. Het dier was waarschijnlijk tegen het raam gevlogen. Ze nam contact op omdat ze op de borst van het dier een afwijking zag die ze niet eerder had gezien. Ook vermelde zij dat dat het beeld anders was dan vogelpokken omdat er geen bollingen waren. De plekjes zagen er inderdaad geheel anders uit dan de vogelpokkenwoekeringen zoals we die kennen bij o.a. koolmezen en duiven. Bij DWHC werd ook één keer wittige bolletjes op de huid gezien bij een huismus dat een vorm van vogelpokken bleek te zijn. (https://www.dwhc.nl/vogelpokken-huismus/).
Alleen door pathologisch onderzoek is aan te geven wat de oorzaak van de witte plekjes is.
Het onderzoek
De geelgors was een mannelijk jong van dit jaar. Het dier had bloedingen in longen en borstbeen, hetgeen overeenkomt met trauma zoals door tegen een raam te vliegen. De geelgors had ook een darmbloeding. Als een vogel van dit formaat 24 – 48 uur niet eet, gaat het dood aan een maag-darmbloeding.
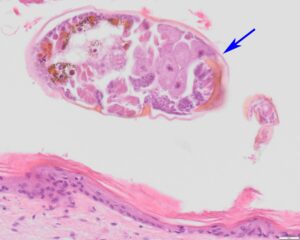
Dit jong had matige vetreserves en spiermassa en heeft te weinig voedsel binnen gekregen. Het dier was waarschijnlijk verzwakt geraakt door bloedzuigende mijten (Bakericheyla chanayi) op de borst. De witte plekjes op de borst waren namelijk de nesten van bloedzuigende mijten. Bij het microscopisch onderzoek waren in de huid ontstekingen te zien met daarin restanten van mijten.
De mijt Bakericheyla chanayi
Deze mijtensoort behoort tot Cheyletidae (familie), Prostigmata (onderorde), Trombidiformes (orde), Acari (mijten, subklasse), Arachnida (spinachtigen, klasse).
De B. chanayi komt bij verschillende kleine vogelsoorten, voornamelijk zangvogels (Passeriformes), voor. De mijt heeft verschillende stadia, larve, nimf en volwassen, die allen bloed zuigen. De vrouwtjes maken een beschermend nest van zijde-achtige draden op de borst (buikzijde) van de gastheer (Filimonova, 2013). Hierin worden de eitjes gelegd en ontwikkelen zich alle stadia. Bij onder laboratorium omstandigheden gehouden vogels, kon de besmetting tot sterke verzwakking van de vogel leiden. Hierbij vermagerden ze sterk, werden ze minder actief en alert en hadden een ‘donzig’ verenkleed . Bij vogels met een ernstige besmetting bleek de gehele huid vol met nesten te zitten. Bij één vogel werd tot 30 nesten/cm2 geteld (Furman, 1968).
![]() |
![]() |
| Geelgors met nesten van de bloedzuigende mijten. Foto in het veld genomen door Anne Buijtenhek |
Huismus met vogelpokken Foto: DWHC |

Literatuur:
Filimonova, S.A., 2013. Morphological aspects of blood digestion in a parasitic mite Bakericheyla chanayi. Arthropod Structure & Development. Volume 42, Issue 4, July 2013, Pages 265-276. https://www.sciencedirect.com/science/article/abs/pii/S1467803913000224?via%3Dihub
Furman, D. P. & O.E. Sousa, 1968. Morphology and Biology of a Nest-Producing Mite, Bakericheyla chanayi (Acarina: Cheyletidae). Annals of the Entomological Society of America, Volume 62, Issue 4, 15 July 1969, Pages 858–863, https://doi.org/10.1093/aesa/62.4.858

