
Voorgeschiedenis
Een mannelijke groenling (Carduelis chloris) werd gevonden in een tuin. De vogel zat op de grond, zat bol in de veren en had wat slijm langs de snavel. Na korte tijd overleed het dier.
Macroscopisch onderzoek

De vogel was in een slechte voedingstoestand en had een matig ontwikkelde borstspier. In de snavelholte, de krop en het begin van de slokdarm waren gele beslagen aanwezig (Foto 2). De luchtpijp was niet afwijkend. De magen waren leeg, de dunne darm was niet afwijkend. In de dikke darm was weinig slijmige inhoud aanwezig. De lever was gering vergroot, de milt was vergroot.
Microscopisch onderzoek

Direct microscopisch onderzoek van het een swab van materiaal uit de krop liet veel bewegende trichomonaden zien. In een gekleurd preparaat van dit materiaal zijn de protozoën goed te zien (Foto 3).
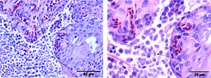
Verder microscopisch onderzoek liet een ontsteking van de krop en het slijmvlies van de mondholte met erg veel trichomonaden zien.(Foto 4 and 5, pijlen).
Conclusie
Macroscopisch en microscopisch kwamen de laesies in deze groenling overeen met het geel (Trichomonas sp. infectie). Trichomonas gallinae infectie is al vaker gediagnosticeerd in groenlingen, en ook in andere wilde vogelsoorten.

Foto banner: Dick Pasman