In the province North Brabant, an old female badger (Meles meles) was found dead in March 2025, in a garden close to a badger sett (an underground tunnel system where badgers live). The badger was thin and dehydrated. The animal was sent in and examined by the DWHC.
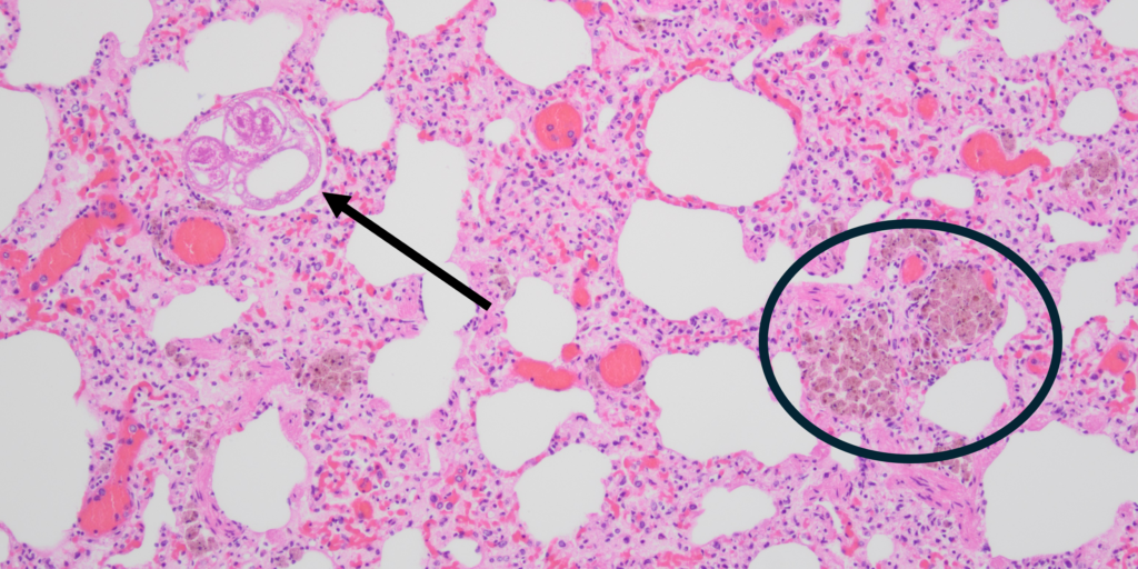
The badger died from peritonitis (inflammation of the abdominal lining) caused by the bacterium Streptococcus canis (S. canis). In addition, she had intestinal inflammation, mild heart problems, and fluid in the lungs (pulmonary oedema). Worms were also found in the lungs, which caused a mild pneumonia. Microscopic examination revealed a lungworm as well as inflammatory cells due to the inhalation of sand (see figure). Furthermore, this badger had skin inflammation on her abdomen caused by parasites such as fleas and possibly lice.

The bacterium Streptococcus canis
S. canis is most commonly found in dogs and cats, however it has also been found in a wide range of other animal species, including cattle, foxes, otters, and badgers. The bacterium mainly causes infections in animals with poor health or reduced immunity. S. canis can enter the body through wounds, the skin, or mucous membranes. Once inside the body, S. canis causes inflammation at the entry site, such as skin infections, but can also spread via the bloodstream to other organs. This can lead to, for example, pneumonia and blood poisoning (sepsis). The body’s inflammatory response to the invading bacterium causes general symptoms such as fever and lethargy.
S. canis is a zoonosis, which means it can be transmitted from animal to human. Infection with this bacterium in human is very rare and has not yet been reported in the Netherlands.
Source
Pagnossin, D., Smith, A., Oravcová, K., & Weir, W. (2022). Streptococcus canis, the underdog of the genus. Veterinary Microbiology, 273, 109524.