Research on tissue provides an answer on the mysterious breast lump

In August 2018, a roe deer was shot because of a lump in the breast and sent to DWHC for examination. The roe deer was an adult female in poor condition. The emaciation was caused by pneumonia due to lung worms. Both Dictyocaulus eckerti and Varestrongylus capreoli were found.
The lump
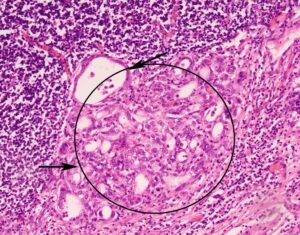
Examination of the lump lead to a surprising result. The lump was filled with blood. Such a large haematoma could suggest blunt trauma or other traumatic injury. But the microscopic examination showed that the wall of the lump consisted of sweat gland cancer (apocrine carcinoma). The bleeding was therefore caused inside of a tumor. Although the tumor itself was still small and did not cause any problems for the roe deer, it had metastasized. If the animal had not been shot, the cancer would certainly have continued to spread. The detailed photo shows the microscopic image of a lymph node with metastasis of the sweat gland cancer. You see tumor tissue in the circled area: the cells show a messy build-up (chaos) and the tubes of the gland cancer are clearly visible (arrows).
![]() |
![]() |
| Haematoma with subcutaneous haemorrhage | Microscopy of lymph node with metastasis |
The lump was therefore not an abscess nor just an haematoma. This is a good example of how important tissue research is to determine the cause of an abnormality.

