Het DWHC ontvangt regelmatig meldingen van reeën met kale en kortharige plekken, meestal in de hals en op de flanken. De meldingen komen meestal in de periode februari – mei binnen, waarvan de meeste in maart. Bij onderzoek bleek dat de ‘kale’ reeën meestal niet echt kaal waren, maar ‘kort geschoren’ haren hadden. Sommige dieren hadden ook echt kale plekken, waarbij de huid soms tot bloedens toe was geschuurd. Daarnaast waren enkele reeën bijna geheel kaal. Naast de ‘piek’ van meldingen in het begin van het jaar, ontvangt het DWHC verspreid over de rest van het jaar soms nog enkele meldingen van bijna tot geheel kale reeën.
Geschoren uiterlijk
In de meeste gevallen zijn op de kaal ogende plekken korte afgebroken haren van een paar mm lang te zien. Het lijkt net of ze geschoren zijn. Ook zie je plekken waar de haren duidelijk korter zijn dan op andere plaatsen en is te zien dat ze zijn afgebroken of afgeschuurd. Soms is de huid geheel kaal.
![]() |
![]() |
![]() |
Sinds 2009 zijn er meldingen binnengekomen van reeën met kale plekken. In de periode 2009 – mei 2020 heeft het DWHC ruim 500 reeën onderzocht waarvan bij 51 reeën sprake was van kale plekken. In hoeverre dit fenomeen voor die tijd al in Nederland voorkwam, is onbekend. In Duitsland komt het al zo’n 40 jaar voor. In Nederland wordt de laatste jaren weliswaar meer melding gemaakt van kale/kortharige reeën, maar het is onduidelijk of er ook daadwerkelijk sprake is van meer gevallen of wijdere verspreiding of dat het meer gemeld wordt. De stijging in meldingen kan bijvoorbeeld ook een gevolg zijn van meer aandacht voor het uiterlijk van het ree (i.v.m. opleiding van jagers tot Gekwalificeerd Persoon), door aandacht over het fenomeen in (Duitstalige) jachttijdschriften, en door de mogelijkheid dat afwijkingen bij wild gemeld kunnen worden bij het DWHC en daar (deels) onderzocht kunnen worden. Van reeën met een huidafwijking die faunabeheerders gedurende het jaar ‘volgden’, kon vastgesteld worden dat ze er na het verharen in het voorjaar meestal weer normaal uitzagen. Dit is zowel de ervaring in Nederland als in Duitsland, Oostenrijk en Zwitserland.
Voor deze aandoening bestaat in Nederland (nog) geen naam, maar in Duitsland bestaan er diverse benamingen voor: Haarbruchsyndrom, Haarseuche, Haarkeratose en Haarparakeratose. Deze laatste twee benamingen komen uit een onderzoek uit 1982 (zie kader), maar worden tegenwoordig eigenlijk niet meer gebruikt. De term “Haarseuche” wordt weliswaar veelvuldig gebruikt, maar is eigenlijk onterecht omdat het geen besmettelijke ziekte (Seuche) betreft. Het “Haarbruchsyndrom”verwoordt goed waarvan er bij de reeën meestal sprake is, namelijk van afgebroken haren.
Mogelijke oorzaken
De vraag is nu wat de oorzaak van de afgebroken haren is? Lange tijd werd een zink-cadmium-probleem (zie kader) aangehaald als oorzaak. Dit is (waarschijnlijk) terug te voeren op het feit dat dit als oorzaak werd genoemd in het enige bekende onderzoek naar ‘Haarseuche’. In dit Duitse onderzoek uit 1982 werd overigens ook aangegeven dat jeuk (en het daarmee gepaard gaande schuren, krabben en bijten) een rol kan hebben gespeeld. En juist dit, jeuk in combinatie met brosse haren aan het eind van de winter, wordt tegenwoordig in Duitsland en Oostenrijk gezien als de meest waarschijnlijke verklaring voor het voorkomen van de meeste kale en kortharige reeën in het voorjaar. Deze jeuk zal voornamelijk worden veroorzaakt door parasieten zoals vachtluizen (Damalinia meyeri), hertenluisvliegen (Lipoptena cervi ) en teken (vnl. Ixodes ricinus), maar kan soms ook het gevolg zijn van schurft.
![]() |
![]() |
![]() |
| Vachtluizen | Hertenluisvlieg. Deze soort verliest zijn vleugels als hij zich op een dier heeft genesteld | Half volgezogen teek en een paar vachtluizen |
Vachtluizen, hertenluisvliegen en teken
![]() |
![]() |
| Bij een deel van de reeën waren ectoparasieten zichtbaar, zoals op deze foto’s. Boven: Hertenluisvliegen en teek; onder: vachtluizen. |
Bij een deel van de door het DWHC onderzochte reeën was het duidelijk dat ze een ontsteking van de huid en het onderliggende vetweefsel hadden, wat kan duiden op een (allergische) reactie op ectoparasieten zoals vachtluizen, hertenluisvliegen en teken. Bij een aantal reeën was inderdaad sprake van (meerdere) ectoparasieten, maar niet bij allemaal. Dr Armin Deutz (2011, 2018) geeft aan dat eventuele parasieten niet altijd meer kunnen worden aangetoond, omdat deze niet graag op koude, dode dieren verblijven en dus al ‘vertrokken’ zijn voordat het dier kan worden onderzocht.
Kijkend naar de plekken waar de haren zijn afgebroken, dan zijn dit vaak de voorkeursplekken van de ectoparasieten. Zo zitten teken graag in de nek en bij het oor, zitten vachtluizen vaak rond de oren, ogen en kin en op de hals en flanken, en komen luisvliegen voornamelijk voor op de buik en op de binnenkant van de poten (Wetzel, 1962).
Reeën hebben vaak kleine aantallen vachtluizen, luisvliegen en teken. Dit veroorzaakt normaal gesproken geen problemen, maar bij verzwakte, zieke en oude reeën kunnen de aantallen sterk toenemen, waardoor ze onrustig worden door de jeuk. Ze gaan likken, krabben, bijten en schuren, soms tot bloedens toe.
Vachtluizen bij een ree:
Schurft
Vaak wordt bij een kaal ree gedacht aan schurft. Bij reeën kan zowel de schurftmijt (Sarcoptes scabiei) als de demodex-mijt (Demodex sp) kaalheid veroorzaken. De schurftmijt veroorzaakt echter zelden problemen bij reeën.
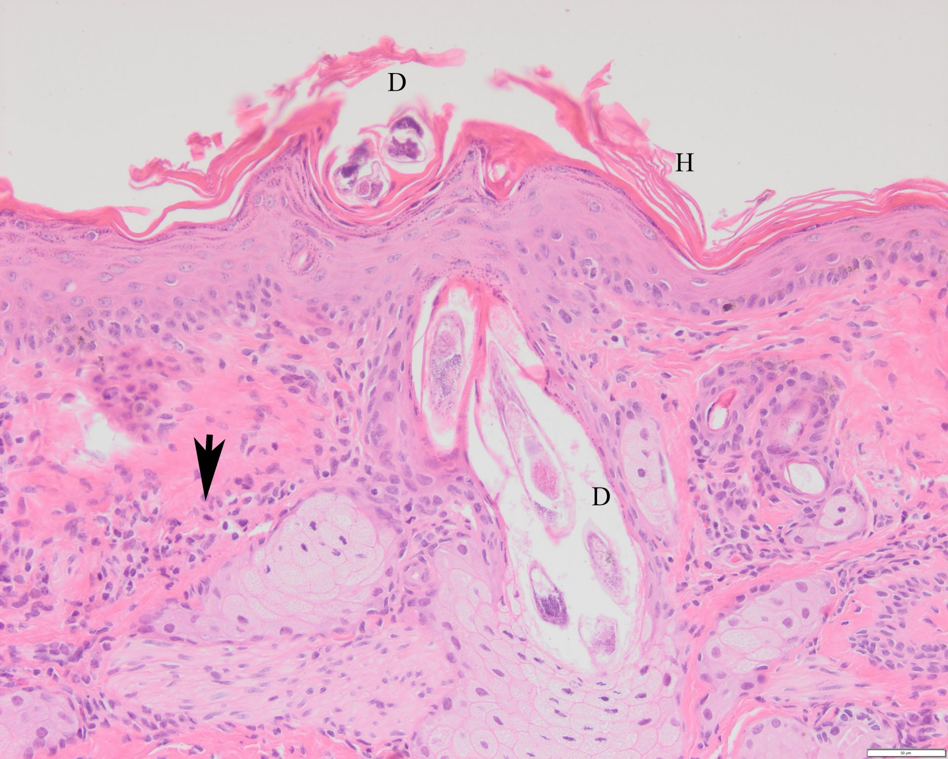
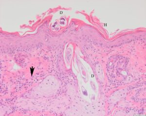
De demodex-mijt leeft in de haarzakjes en komt zeer algemeen voor bij dieren. Normaal gesproken veroorzaakt ook de demodex-mijt geen problemen voor een dier, maar als het door één of andere reden verzwakt is, kunnen de aantallen mijten toenemen en kunnen ontstekingen ontstaan waardoor het dier zijn haren verliest. De ontstekingen in en rond de haarfollikels zijn alleen met microscopisch onderzoek van de huid vast te stellen. Bij kaalheid door de demodex-mijt wordt ook wel gesproken van demodicose.
In extreme gevallen worden de reeën bijna geheel kaal. Van de 51 reeën met kale plekken die bij het DWHC zijn onderzocht, is de demodex-mijt bij 5 dieren gevonden en als oorzaak aangemerkt voor de kaalheid. e mijt loopt over de huid van het ene haarzakje naar het volgende en kan dan bij intensief onderling contact tussen reeën overgaan van het ene dier op het andere. Zie voor meer voor meer informatie over demodicose het DWHC-bericht ‘Kale reeën door demodex-mijten’.
![]() |
![]() |
| Ree met demodicose | Microscopisch beeld van de huid bij demodicose. D = demodex-mijt, H = hyperkeratose, Pijl = ontsteking |
Overig
Van andere diersoorten is bekend dat kaalheid kan komen door o.a. overmatige hormonenproductie door de bijnierschors, problemen met de schildklier, en tumoren in de testikels. Deze afwijkingen zijn niet bij de onderzochte reeën aangetoond. Bij één ree kon worden vastgesteld dat een pokkenvirus de oorzaak was van de kortharige en kale plekken (DWHC, 2018).
Discussie
Reeën hebben altijd wel ectoparasieten gehad. Als er de laatste jaren daadwerkelijk sprake is van meer gevallen van kale of kortharige plekken door ectoparasieten, moet er een onderliggende reden zijn waarom reeën er meer last van lijken te hebben. Als één van de mogelijke oorzaken wordt het klimaat genoemd. Het zou kunnen zijn dat de aantallen (ecto)parasieten door de warme winters nu hoger liggen, en/of dat de reeën er nu meer last van ondervinden. In koude winters zijn teken bijvoorbeeld (zo goed als) niet actief, maar in milde en warme winters wel.

Zachte winters zorgen er voor dat zwakkere en oudere dieren de winter weliswaar overleven, maar door hun slechte conditie hebben ze mogelijk meer last van (ecto)parasieten. Aan de andere kant zorgen milde winters er ook voor dat reeën juist in een dusdanig goede conditie zijn dat ze hun gewei eerder vegen en dat ze al in april hun kalveren zetten (werpen). Misschien dat ook het verharen eerder begint. Dergelijke processen (gewei opzetten/vegen, groeien van embryo, verharen) kosten energie en kunnen er voor zorgen dat reeën gevoeliger zijn voor (ecto)parasieten. In de gematigde klimaten vermenigvuldigen de luizen zich bij herten in de winter en het vroege voorjaar tot grote aantallen, en hebben ze kleine aantallen in de zomer (Durden, 2001). Mogelijk dat door het samenvallen van dergelijke energie kostende processen met een groter aantal luizen in dezelfde periode, een verklaring zou kunnen zijn.
Daarnaast zou ook stress of verzwakking een rol kunnen spelen. Verhoogde stress kan allerlei oorzaken hebben, zoals verstoring (door loslopende honden of door mountainbikers op wildwissels), een toename van de wildstand, voedselgebrek, etc. Het is echter niet bekend of de dieren ook daadwerkelijk meer (chronische) stress hebben.
Hoewel er dus mogelijke oorzaken kunnen worden aangegeven, blijft het helaas gissen naar de daadwerkelijk oorzaak van het meer voorkomen van het ‘Haarbruchsyndrom’.
Op foto’s gemaakt door een wildcamera op de Veluwe, is goed te zien hoe een kleine eerste afwijking in de vacht bij een reebok te zien is op 21 januari en zich ontwikkelt naar een bijna geheel kaal uitziend ree op 21 maart. Eind maart zijn de eerste rode haren van de zomervacht zichtbaar. Na begin april heeft de reebok zich niet meer laten zien. Het is onbekend hoe de vacht van de reebok er nu uitziet. Klik hier voor de foto-collage Haarbruchsyndrom Veluwe.
| Duits onderzoek 1983
Voor zover bekend zijn de eerste reeën met kortharige plekken beschreven door A. Herzog, K. Volmer en G. Döll in 1983 (Herzog, 1983). In dit onderzoek werden 2 reeën onderzocht uit een gebied in Midden-Duitsland waar sinds 5 – 6 jaar, in de periode van de voorjaarsverharing, een tot dan toe onbekende ‘haar-epidemie’ (Haarseuche)’ voorkwam. De haren van deze twee reeën werden vergeleken met de haren van reeën uit een gebied zonder problemen. In de aangetaste haren werden zwakke plekken met fosforzuurresten gevonden, de plaatsen waar de haren afbreken. Dit beeld past bij parakeratose zoals bij huid wordt gezien. In de reeënhuid was overigens ook een matige parakeratose te zien. Parakeratose wordt ook wel keratonose genoemd en is een verstoring van de verhoorning van de opperhuid. Parakeratose wordt in relatie gebracht met een zink-tekort. De afgebroken haren vertoonden een zink-tekort. Een verhoogd cadmium-gehalte werd door de onderzoekers als mogelijke mede-oorzaak beschouwd voor het te lage zink-gehalte. Daarbij vonden de onderzoekers ook een verhoudingsgewijs hoog calcium-gehalte in de winterharen, hetgeen ook kan bijdragen aan een zink-tekort. Bij de controle-groep van reeën lag het cadmium-gehalte iets lager, maar overigens ook sterk boven de ‘normale’ waarde. Cadmium wordt voornamelijk via het voer opgenomen, met name in de winter via takken en koolzaad. In de conclusie geven de onderzoekers aan dat “Het voorkomen van haarbreukplekken tijdens de verhaar-periode , er toe kan hebben geleid dat de haren aan de grens van hun ‘belastbaarheid’ waren, of dat door de in deze periode optredende jeuk, een sterke mechanische belasting van de haren tot het afbreken leidt”. Het is de onderzoekers niet duidelijk geworden waarom het probleem zich alleen in dit gebied voordeed. |
Geraadpleegde literatuur.
- Herzog, A., K. Volmer, & G. Doll. (1983). “Die sogenannte „Haarseuche“ beim Capreolus capreolus L.), eine Haarparakeratose. Berliner Und Munchener Tierarztliche Wochenschrift 96.1 pp 17-23.
- Deutz A, & U. Deutz (2011). Wildkrankheiten–Hundekrankheiten–Zoonoses. Erkennen–Vermeiden– (Be)Handeln. Leopold Stocker Verlag GmbH, Graz, Austria, 264 pp.
- Deutz, A (2018). Fall 2: “Haarseuche” bei Rehen. Schweizer Jäger, november 2018, jg 103, pp 22-23.
- Durden, L.A. Lice (Phthiraptera) (2001). In W.M. Samuel (ed), Parasitic Disease of Wild Mammals. Second edition pp 3-17. Iowa State University Press / Ames.
- DWHC (2019). Ziektesurveillance bij wilde dieren Nederland 2018. DWHC jaarrapport 2018. Utrecht.
- DWHC (2016) Kale reeën door Demodex-mijten. https://www.dwhc.nl/kale-reeen-demodex/
- Wetzel, R. & W. Rieck. Krankheiten des Wildes: Festellung, Verhütung und Bekämpfung. Paul Parey, 1962. Hamburg und Berlin.
Het gehele bericht is als pdf te downloaden: Haarbruchsyndrom – kaal ogende reeen V 2023-02-20.pdf
Foto’s banner: Bas Worm
Overige foto’s: DWHC









